Воспользуйтесь поиском по сайту:

От обычного исследования этот метод отличается тем, что в кровеносные сосуды вводят контрастное вещество – органическое соединение йода, без которого на рентгенограмме сосуды не будут видны. Проводят ангиографию после общеклинического обследования пациента, в тех случаях, когда с помощью другого метода исследования установить диагноз не удалось. С помощью ангиографии сосудов можно выявить пороки в их развитии и повреждения (сужения, аневризмы, мальформацию), нарушение проходимости, а также пороки и повреждения различных внутренних органов, злокачественные и доброкачественные образования.
В зависимости от поставленной задачи выделяют ангиографию мозга, артериографию, венографию, ангиографию сердца, лимфографию, флуоресцентную ангиографию.
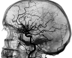
Исследование сосудов мозга называют церебральной ангиографией – после введения контраста за короткий промежуток времени делают несколько ангиограмм, отображающих венозную, артериальную, капиллярную фазы кровообращения. Ангиография мозга может быть прямой и непрямой. Выделяют каротидную и вертебральную прямую церебральную ангиографию. Чаще всего используют каротидный метод исследования – контраст вводят в шею, в сонную артерию. Вертебральная ангиография мозга отличается тем, что соединение йода вводится в позвоночную артерию. При непрямой церебральной ангиографии к сонной или позвоночной артерии подходят через другой крупный сосуд, например через артерию на бедре: вводят длинный катетер и нагнетают контраст.
Артериография - метод диагностики артерий, позволяющий выявить новообразования, расположившиеся возле кровеносных сосудов, закупорку и сужение просвета артерий, различные нарушения кровотока.
Венографию назначают при заболеваниях вен на руках и ногах. Исследование позволяет увидеть на снимке глубоко расположенные и поверхностные вены, их протяженность и локализацию, диагностировать тромбоз или варикозное расширение. В отдельных случаях венографию назначают для оценки патологий ритма сердца, определения сердечной недостаточности.
Более подробную информацию о сердечном заболевании дает ангиография сердца – исследование, с помощью которого изучают камеры сердца и артерии. Проводят ангиографию сердца в лечебных и диагностических целях. С ее помощью можно выявить различные патологии сосудов (тромбоз, сужение или расширение, закупорка), оценить давление крови в сердце и легочной артерии, сократительную способность миокарда.
Лимфография проводится для изучения лимфосистемы и назначается при злокачественных опухолях матки, яичников. С помощью этого исследования можно оценить степень заболевания и эффективность проведенной химиотерапии или операции по удалению лимфоузлов.

Нельзя проводить ангиографию сосудов при острых инфекциях и воспалительных заболеваниях, в тяжелых состояниях, при психических болезнях, серьезной почечной, печеночной и сердечной недостаточности, при аллергии на йод.
Нашли ошибку в тексте? Выделите ее и нажмите Ctrl + Enter.
В Великобритании есть закон, согласно которому хирург может отказаться делать пациенту операцию, если он курит или имеет избыточный вес. Человек должен отказаться от вредных привычек, и тогда, возможно, ему не потребуется оперативное вмешательство.