Апластическая анемия: симптомы, диагностика, лечение, прогноз, причины
Меню paxilmic.ru

Апластическая анемия

Апластическая анемия – это гематологическое заболевание, характеризующееся панцитопенией (снижением количества всех форменных элементов крови), резким угнетением ростков кроветворения, жировым перерождением красного костного мозга.

Первое развернутое описание патологии принадлежит П. Эрлиху (1888 год), который полностью сформулировал морфологические и клинические особенности апластической анемии у 21-летней пациентки.

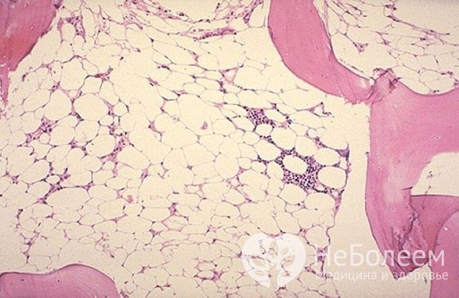
Апластическая анемия характеризуется снижением количества всех ферментных элементов крови Апластическая анемия характеризуется снижением количества всех ферментных элементов крови

Заболевание встречается крайне редко (частота в среднем 1:300 000–1:500 000). Оно может дебютировать с равной долей вероятности в любом возрасте, но выделяются два пика заболеваемости: в 10–25 лет и после 60 лет. Апластической анемией чаще страдают женщины.

Синонимы: геморрагическая алейкия, панмиелофтиз, алиментарно-токсическая алейкия.

Причины и факторы риска

Приблизительно у половины пациентов установить причину не удается. В этом случае говорят об идиопатической (криптогенной) апластической анемии.

На настоящий момент известны следующие факторы, провоцирующие развитие заболевания:

  • терапия некоторыми лекарственными препаратами (Пирамидоном и производными пиразолонового ряда, Левомицетином, сульфаниламидами, цитостатиками, иммунодепрессантами, препаратами золота, антитиреоидными средствами, Анальгином, Индометацином, противосудорожными препаратами);
  • воздействие ионизирующего излучения;
  • длительный производственный контакт с ароматическими углеводородами (например, бензолом), лакокрасочными составами, пестицидами, хлорорганическими соединениями;
  • накопление в тканях солей тяжелых металлов (ртути, серебра, меди, цинка, висмута, свинца);
  • иммунные заболевания (симптомокомплекс «трансплантат против хозяина», эозинофильный фасциит, тимома и карцинома тимуса);
  • перенесенные ранее инфекционно-воспалительные заболевания (грипп, гепатит, цитомегаловирусная инфекция, СПИД, сепсис, туберкулез, бруцеллез, лейшманиоз и др.).
Основные причины апластической анемии Основные причины апластической анемии

На возможное наличие предрасполагающего генетического дефекта, приводящего к развитию апластической анемии, указывает факт повышенной встречаемости у больных антигена HLA-DR2, при этом частота обнаружения антигена DR у родителей больных выше ожидаемой. У детей с тяжелой апластической анемией выявлено весьма существенное увеличение частоты антигена HLA-DPw3.

Выживаемость больных тяжелой апластической анемией невысока: только 70-80% пациентов переживают 5-летний рубеж.

Под воздействием перечисленных факторов в организме запускается каскад патологических реакций:

  • поражение стволовой гемопоэтической клетки, источника образования всех видов клеток крови;
  • повреждение микроокружения стволовой гемопоэтической клетки, приводящее к усугублению нарушения ее функций;
  • угнетение иммунитета;
  • нарушение метаболизма и запуск программируемой гибели стволовых клеток крови;
  • укорочение жизни эритроцитов.

Формы заболевания

Выделяют наследственные и приобретенные формы заболевания.

Наследственные формы:

  • наследственная гипопластическая анемия с поражением трех кроветворных ростков – с наличием врожденных аномалий развития (анемия Фанкони) и без них (анемия Эстрена – Дамешека);
  • наследственная парциальная анемия с избирательным поражением эритропоэза (анемия Джозефа – Блекфена – Даймонда);
  • врожденный дискератоз.
Апластическая анемия встречается крайне редко (частота в среднем 1:300 000–1:500 000).

Приобретенные формы:

  • приобретенная анемия с поражением всех трех кроветворных ростков – острая, подострая, хроническая;
  • приобретенная парциальная анемия с избирательным поражением эритропоэза – идиопатическая (форма Эрлиха) и известной этиологии.

По степени тяжести процесса апластическая анемия бывает:

  • нетяжелой (гранулоцитов – 2,0 х 109/л, тромбоцитов – менее 50 х 109/л, умеренное снижение клеточности костного мозга);
  • тяжелой (гранулоцитов – менее 0,5 х 109/л, тромбоцитов – менее 20 х 109/л, ретикулоцитов – менее 1%, частичная аплазия красного костного мозга);
  • очень тяжелой (гранулоцитов – менее 0,2 х 109/л, тромбоцитов – менее 20 х 109/л, полное жировое перерождение красного костного мозга).

По роли иммунных факторов выделяются следующие формы:

  • иммунная;
  • неиммунная.

Также апластическая анемия развивается с гемолитическим синдромом и без него.

Симптомы

Все симптомы апластической анемии объединяются в 3 основных группы синдромов: анемический синдром, геморрагический синдром, синдром инфекционных осложнений.

Анемический синдром характеризуется:

  • выраженной общей слабостью;
  • быстрой утомляемостью;
  • непереносимостью привычных физических нагрузок;
  • одышкой и тахикардией при умеренных нагрузках, в тяжелых случаях – в покое, при перемене положения тела;
  • головными болями, головокружением, эпизодами обморока;
  • шумом, звоном в ушах;
  • чувством «несвежей головы»;
  • мельканием «мушек», пятен, цветных полос перед глазами;
  • болями колющего характера в области сердца;
  • снижением концентрации;
  • нарушением режима «сон – бодрствование» (сонливость днем, бессонница ночью).

Объективно при обследовании пациентов устанавливаются бледность кожных покровов и видимых слизистых оболочек, приглушенность тонов сердца, учащение пульса, снижение артериального давления.

Выделяют два пика заболеваемости: в 10–25 лет и после 60 лет. Чаще болеют женщины.

Геморрагический синдром проявляется:

  • гематомами (синяками) разного размера и точечными кровоизлияниями, возникающими на коже и слизистых оболочках после незначительного воздействия или спонтанно, без причин;
  • кровоточивостью десен;
  • кровотечением из носа;
  • у женщин – маточными межменструальными кровотечениями, длительными обильными менструациями;
  • розовым окрашиванием мочи;
  • определением следов крови в испражнениях;
  • возможными массивными желудочно-кишечными кровотечениями;
  • кровоизлияниями в склеру и глазное дно;
  • кровоизлияниями в головной мозг и его оболочки;
  • легочными кровотечениями.
Одним из симптомов апластической анемии являются синяки на теле, появляющиеся спонтанно Одним из симптомов апластической анемии являются синяки на теле, появляющиеся спонтанно

Объективное подтверждение геморрагического синдрома – точечные кровоизлияния и кровоподтеки на коже и слизистых, множественные гематомы на разных стадиях (от пурпурно-фиолетовых до желтых).

Инфекционные осложнения представлены развивающимися пневмониями, пиелонефритами, фурункулезами, постинъекционными абсцессами или инфильтратами, в тяжелых случаях – сепсисом.

Читайте также:

8 продуктов, помогающих улучшить кровообращение

Донорство органов в России: 8 особенностей, о которых нужно знать

16 причин кровоизлияний в глазах

Диагностика

Для постановки диагноза необходимы:

  • общий анализ крови (выявляются нормохромная анемия при ЦП – 0,9, снижение количества ретикулоцитов, гранулоцитов, относительно небольшое повышение количества лимфоцитов, значительное сокращение числа тромбоцитов, увеличение СОЭ до 30–90 мм/ч);
  • исследование красного костного мозга (миелокариоцитов – менее 50 х 109/л при норме от 50 до 250 х 109/л, мегакариоцитов – 0 при норме от 50 до 150 в 1 мкл, лейко-эритробластическое отношение – 5:1–6:1 при норме 3:1 или 4:1);
  • трепанобиопсия гребня подвздошной кости (устанавливается жировое перерождение красного костного мозга);
  • анализ на железо сыворотки крови (повышение до 60 мкмоль/л при норме до 28);
  • сканирование костного мозга с Тх99 (выявляется значительное уменьшение активности костного мозга в позвоночнике, плоских костях, головках трубчатых костей).

Диагноз «апластическая анемия» ставится на основании данных объективного осмотра и лабораторных исследований:

  • при трехростковой цитопении – анемии (гемоглобина менее 110 г/л), гранулоцитопении (гранулоцитов менее 2,0 х 109/л), тромбоцитопении (тромбоцитов менее 100,0 х 109/л);
  • при снижении клеточности костного мозга наряду с отсутствием мегакариоцитов по результатам исследования пунктата костного мозга;
  • при аплазии костного мозга в биоптате подвздошной кости, преобладании желтого костного мозга.

Лечение

Основным методом лечения является программная иммуноподавляющая терапия антилимфоцитарным (антитимоцитарным) глобулином, циклоспорином А.

На фоне проведения иммуносупрессивной терапии ремиссия достигается приблизительно у 50% больных.

Поддерживающая вспомогательная терапия:

  • переливание эритроцитарной массы;
  • переливание свежезамороженной плазмы;
  • введение концентрата донорских тромбоцитов;
  • десенсибилизирующие препараты;
  • антибиотикотерапия в случае инфекционных осложнений.
Переливание эритроцитарной массы назначается в качестве поддерживающей терапии апластической анемии Переливание эритроцитарной массы назначается в качестве поддерживающей терапии апластической анемии

При неэффективности производятся лимфоцитаферез, спленэктомия, трансплантация костного мозга.

Возможные осложнения и последствия

Апластическая анемия может осложняться:

  • тяжелыми жизнеугрожающими кровотечениями;
  • бактериальным эндокардитом;
  • сепсисом;
  • сердечной недостаточностью;
  • почечной недостаточностью;
  • реакцией отторжения при трансплантации костного мозга.

Прогноз

На фоне проведения иммуносупрессивной терапии прогноз значительно улучшился: ремиссия достигается приблизительно у 50% больных. Тем не менее выживаемость больных тяжелой апластической анемией остается невысокой: только 70-80% пациентов переживают 5-летний рубеж. Прогноз у детей более благоприятный.

Об авторе

Олеся Смольнякова
Терапия, клиническая фармакология и фармакотерапия Об авторе
Образование: высшее, 2004 г. (ГОУ ВПО «Курский государственный медицинский университет»), специальность «Лечебное дело», квалификация «Врач». 2008-2012 гг. – аспирант кафедры клинической фармакологии ГБОУ ВПО «КГМУ», кандидат медицинских наук (2013 г., специальность «фармакология, клиническая фармакология»). 2014-2015 гг. – профессиональная переподготовка, специальность «Менеджмент в образовании», ФГБОУ ВПО «КГУ».

Информация является обобщенной и предоставляется в ознакомительных целях. При первых признаках болезни обратитесь к врачу. Самолечение опасно для здоровья!

Поделиться:
 
Оцените статью: 4.6 1 1 1 1 1 1 1 1 1 1 Рейтинг: 5 (15 голосов)
 
Знаете ли вы, что:

Упав с осла, вы с большей вероятностью свернете себе шею, чем упав с лошади. Только не пытайтесь опровергнуть это утверждение.

Читайте также