Воспользуйтесь поиском по сайту:
Содержание статьи:
Артрит (от лат. arthritis – ломота в суставах) – это общее обозначение всех видов воспалительных процессов в суставах, выступающих в роли самостоятельных нозологических форм или проявлений системной патологии. При прогрессирующем заболевании воспаление распространяется на прилегающие ткани: синовиальную оболочку, бурсу, связки, сухожилия, мышцы и кости.
Поражение суставов при артритеПричины развития воспалительных процессов в суставах могут быть самыми разнообразными. Острое воспаление может быть вызвано травмой, инфекцией, аллергической реакцией или попаданием токсичных веществ в суставную полость при укусах змей, пауков и ядовитых насекомых. Хроническая форма часто развивается на фоне различных нарушений в работе внутренних органов и систем:
Возникновение реактивного артрита чаще всего связывают с энтеробактериями, хламидиями и микоплазмами. В случае ревматоидного артрита первостепенное значение имеет генетическая предрасположенность.
Среди статистически значимых факторов риска развития артрита ВОЗ называет возраст старше 65 лет, избыточный вес, артериальную гипертензию, заболевания почек и принадлежность к женскому полу: в силу резких изменений гормонального фона в период менопаузы женщины заболевают чаще мужчин. В России воспаление суставов отмечается примерно у 60% лиц пенсионного возраста на фоне тенденции к увеличению заболеваемости и снижению возраста первой манифестации заболевания. Диагностика нервно-артритического диатеза в детстве увеличивает вероятность возникновения артрита в зрелом возрасте.
Предрасполагающим фактором артрита является пожилой возраст и наличие хронических заболеванийНередко причиной артрита оказывается постоянная микротравма суставных структур при профессиональных занятиях спортом и тяжелом физическом труде, когда имеет место интенсивная нагрузка на одни и те же группы мышц. С другой стороны, малоподвижный образ жизни также способствует развитию воспалительных процессов в суставах, особенно когда к гиподинамии примешивается злоупотребление алкоголем, несбалансированное питание и нехватка витаминов в рационе.
В силу многообразия проявлений артрита в клинической практике принято выделять разные формы заболевания, которые отличаются спецификой клинической картины и терапевтических мероприятий. В зависимости от характера протекания различают острый и хронический артрит, а по количеству пораженных суставов дифференцируют три формы заболевания:
Исходя из превалирующего этиологического фактора, различают первичный артрит с независимым патогенезом и вторичный артрит как следствие фонового заболевания. К первичным формам относят инфекционный, травматический и ревматоидный артрит, ювенильный идиопатический артрит, болезнь Стилла, а также воспаление суставов при остеоартрозе и спондилите.
При полиартрите поражаются пять и более суставовВторичный артрит возникает на фоне ряда заболеваний, из которых наиболее известны дизентерия, туберкулез, подагра, сахарный диабет, системная красная волчанка, гонорея, боррелиоз, псориаз, пурпура, гепатит, гранулематоз, гемохроматоз, синдром Рейтера и прочие. Воспаление суставов, развившееся после перенесения носоглоточных, кишечных и мочеполовых инфекций, носит название реактивного артрита.
На ранних стадиях острый инфекционный артрит хорошо поддается лечению вплоть до полного восстановления функций сустава.
В динамике патологического процесса при артрите выделяют четыре стадии:
Стадии ревматоидного артритаСимптоматика артрита зависит от стадии и формы заболевания. Общие признаки воспаления суставов неспецифичны: на ранних стадиях патологического процесса умеренную боль и скованность в суставах часто относят на счет усталости, переохлаждения и возрастных изменений. При воспалении некоторых суставов могут появиться настораживающие сигналы:
На ранних стадиях артрит проявляется умеренными болями и скованностью в суставахБольшинство пациентов обращается к врачу на II стадии заболевания. Постоянный дискомфорт в области суставов, появление чувствительных припухлостей, вызванных избыточной продукцией синовиальной жидкости, характерный хруст, эритема и отечность проблемных участков – явные признаки воспаления. Вынужденное положение тела и конечностей могут указывать на сильные мышечные спазмы на фоне потери подвижности суставов.
Специфические симптомы присущи лишь некоторым формам заболевания. Для реактивного артрита характерно несимметричное воспаление суставов конечностей на фоне лихорадки, головной боли и конъюнктивита. В некоторых случаях добавляются признаки инфекции мочеполовых путей. Вальгусные деформации больших пальцев рук и ног дают основание заподозрить подагрический артрит, а в случае псориатического артрита сильно деформируются и утолщаются суставы кисти.
При ревматоидном артрите суставы поражаются симметрично, а в местах сгибов образуются плотные узелки. В период ремиссии дискомфорт ощущается преимущественно по утрам и практически исчезает ко второй половине дня. Обострения сопровождаются лихорадочным состоянием, онемением конечностей, болью при вдохе, воспалением лимфоузлов и слюнных желез, светобоязнью и резью в глазах.
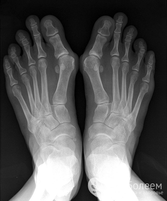
Ревматоидная стопаСуществуют две формы артрита, которые диагностируются исключительно в детском возрасте – ювенильный идиопатический артрит и ювенильный ревматоидный артрит, или болезнь Стилла. Для обоих заболеваний характерно персистирующее течение и слабый ответ на терапию, при болезни Стилла кроме суставов часто поражаются внутренние органы.
Диагностика нервно-артритического диатеза в детстве увеличивает вероятность возникновения артрита в зрелом возрасте.
Также детям свойственно более острое течение инфекционного артрита по сравнению с взрослыми пациентами. Болезненность и выраженные деформации суставов сопровождаются высокой температурой и выраженной интоксикацией организма – сильной головной и мышечной болью, спутанностью сознания, тошнотой и рвотой.
Читайте также:12 распространенных заболеваний стоп
Хотя признаки воспаления суставов хорошо заметны даже неспециалисту, точно определить форму и стадию артрита, равно как и выработать правильную стратегию терапии, основываясь исключительно на данных анамнеза и физикального осмотра, не представляется возможным.
При постановке предварительного диагноза врач обращает внимание на размер, форму и чувствительность и подвижность суставов, цвет и температуру кожных покровов, тонус мышц; проводит функциональные пробы. Следующим этапом диагностического поиска должны стать инструментальные методики, визуализирующие характерные признаки артрита:
Прохождение МРТ гарантирует максимальную точность диагностики суставных патологий за счет качественной визуализации твердых и мягких тканей. Рентгенография и КТ сустава в прямой, боковой и косой проекции позволяют выявить изменения со стороны костного аппарата. Для оценки состояния хряща, сухожилий, связок, мышц и нервов дополнительно назначают УЗИ крупных суставов. При повреждении коленного сустава может потребоваться артроскопия с отбором синовиальной жидкости и биоптата. В целях отслеживания динамики процесса в отсутствие обострений может быть целесообразна контрастная артрография.
Для диагностики артрита делают рентген, МРТ или КТЛабораторная диагностика артрита предусматривает проведение общего, биохимического и иммунологического анализа крови. Высокая скорость оседания эритроцитов и повышенная концентрация фибриногена подтверждает наличие воспалительного процесса; увеличенное количество лейкоцитов – бактериальную инфекцию. При эозинофилии высока вероятность аллергической реакции. Обнаружение в сыворотке крови ревматоидного фактора наряду с превышением допустимого уровня антител и циркулирующих иммунных комплексов четко указывает на ревматоидный артрит. При подагрическом артрите повышаются показатели сиаловой и мочевой кислоты.
В России воспаление суставов отмечается примерно у 60% лиц пенсионного возраста на фоне тенденции к увеличению заболеваемости и снижению возраста первой манифестации заболевания.
Выбор терапевтической стратегии зависит от формы, этиологии и стадии заболевания, локализации воспаления, а также возраста, состояния здоровья и конституциональных особенностей пациента. Для купирования воспалительного процесса и болевого синдрома подбирают комплекс нестероидных противовоспалительных средств, миорелаксантов и обезболивающих препаратов в сочетании с физиотерапевтическими процедурами. Хороший эффект дают электрофорез и ультрафонофорез, Хилт-терапия, амплипульс-терапия, магнитотерапия и СМТ-терапия (лечение синусоидальными модулированными токами).
В лечении артрита эффективны физиотерапевтические методыКортикостероиды в ревматологической практике применяют с большой осторожностью, ограничиваясь инъекциями в пораженный сустав при отсутствии реакции на щадящие методы лечения. В случае наличия инфекционного артрита назначаются курсы антибиотиков или противовирусных препаратов, а при ревматоидном артрите – иммуносупрессоры и иммуномодуляторы. При возникновении гнойных осложнений ежедневно проводится артроцентез.
Лечебная диета при артрите предполагает отказ от высококалорийных продуктов, красного мяса и мясных субпродуктов, зернобобовых, соли, специй и спиртного. При ревматоидном артрите следует также отказаться от помидоров, картофеля, баклажанов и других овощных культур семейства пасленовых, содержащих соланин. В рационе больного должны присутствовать продукты, богатые клетчаткой и витаминами, а также источники легкоусвояемого белка – мясо птицы и кисломолочные продукты.
Для закрепления терапевтического эффекта рекомендуется массаж, занятия в группе ЛФК и курс бальнеотерапии в профильном санатории. Обращаться к народным средствам и нетрадиционным методикам допустимо только после консультации с лечащим врачом.
Ранние осложнения в виде панартритов, флегмон и других гнойных процессов развиваются главным образом при инфекционном артрите. К поздним осложнениям относят контрактуры, патологические вывихи, остеомиелит, остеолиз, некроз костных тканей и генерализованный сепсис. В отсутствие адекватного лечения прогрессирующий хронический артрит может привести к инвалидности: больной утрачивает способность к самообслуживанию и свободному передвижению.
На ранних стадиях острый инфекционный артрит хорошо поддается лечению вплоть до полного восстановления функций сустава. Если развитие воспалительного процесса связано с эндогенными факторами, добиться выздоровления сложнее, однако возможно замедлить темпы прогрессирования заболевания, предотвратить развитие осложнений и избежать инвалидизации.
Профилактика артритов не представляет особой сложности. Достаточно вести умеренно активный образ жизни, отказаться от вредных привычек, придерживаться сбалансированного рациона и контролировать вес. При инфекционных заболеваниях и травмах суставов следует обращаться к врачу, не уповая на домашние средства. Для предотвращения обострений хронического артрита важно соблюдать диету, избегать переохлаждений, не поднимать тяжелые грузы и проходить санаторно-курортное лечение по профилю как минимум раз в два года.
Видео с YouTube по теме статьи:

Информация является обобщенной и предоставляется в ознакомительных целях. При первых признаках болезни обратитесь к врачу. Самолечение опасно для здоровья!
74-летний житель Австралии Джеймс Харрисон становился донором крови около 1000 раз. У него редкая группа крови, антитела которой помогают выжить новорожденным с тяжелой формой анемии. Таким образом, австралиец спас около двух миллионов детей.

