Воспользуйтесь поиском по сайту:
Содержание статьи:
Бронхоэктатическая болезнь – это врожденное или приобретенное воспалительное заболевание дыхательной системы, сопровождающееся нагноением в расширенных, деформированных и функционально неполноценных бронхах (гнойный эндобронхит), ведущее к необратимому нарушению их дренажной функции, развитию ателектазов, эмфиземы и цирроза в региональной зоне легочной ткани.
Изменения в бронхах и легких при бронхоэктатической болезниПод бронхоэктазами понимают необратимое, чаще сегментарное расширение бронхов, обусловленное изменением тонуса или деструкцией их стенок по причине воспаления, локального нарушения трофических процессов, склероза либо гипоплазии.
Дебют бронхоэктатической болезни в большинстве случаев приходится на возраст от 5 до 25 лет; у женщин заболевание регистрируется реже, чем у мужчин.
Болезнь возникает первично и является самостоятельной нозологической единицей. Если бронхоэктазы появляются как осложнение другого заболевания, говорят о вторичной бронхоэктазии.
В полной мере этиологические факторы заболевания не установлены. Наиболее значимыми причинами развития бронхоэктатической болезни принято считать следующие:
Меры профилактики бронхоэктактической болезни включают своевременное лечение респираторных заболеваний, отказ от курения, своевременные вакцинации.
Факторы риска:
Структурные изменения в легких при бронхоэктактической болезниВ результате воздействия причинных факторов (при наличии отягчающих факторов риска) происходят структурные и функциональные изменения бронхиального дерева. Нарушается бронхиальная проходимость, что ведет к задержке адекватной эвакуации бронхиального секрета; в бронхах развиваются воспалительные изменения, которые при прогрессировании способны привести к дегенерации хрящевых пластинок, гладкой мышечной ткани, склерозированию бронхиальной стенки. Нарушение откашливания, застой и инфицирование секрета в расширенных бронхах влекут появление характерных признаков заболевания.
Классификация бронхоэктазов по форме расширения бронхов:
Разновидности бронхоэктазов по форме расширения бронховПод бронхоэктазами понимают необратимое, чаще сегментарное расширение бронхов, обусловленное изменением тонуса или деструкцией их стенок по причине воспаления, локального нарушения трофических процессов, склероза либо гипоплазии.
По клиническому течению (степени тяжести) бронхоэктазы бывают:
В зависимости от распространенности процесса:
Бронхоэктатическая болезнь протекает с чередованием фаз обострения и ремиссии.
Основные признаки бронхоэктатической болезни:
Основные симптомы бронхоэктактической болезниМокрота у пациентов с бронхоэктатической болезнью имеет гнилостный запах, отходит «полным ртом» (от 50 до 500 мл в сутки), в наибольшем количестве отделяется в утренние часы после подъема или при принятии определенного положения тела (свесившись или с опущенным изголовьем кровати). В период ремиссии количество отделяемой мокроты значительно уменьшается; у некоторых больных мокрота вне обострений полностью отсутствует.
Кровохарканье чаще беспокоит человека при обострении заболевания или при интенсивных физических нагрузках. В редких случаях оно может быть единственным проявлением заболевания (при так называемых сухих бронхоэктазах).
Объективное обследование пациентов:
Дебют бронхоэктатической болезни в большинстве случаев приходится на возраст от 5 до 25 лет; у женщин заболевание регистрируется реже, чем у мужчин.
Читайте также:8 факторов, вредящих здоровью легких
Диагностика бронхоэктатической болезни включает:
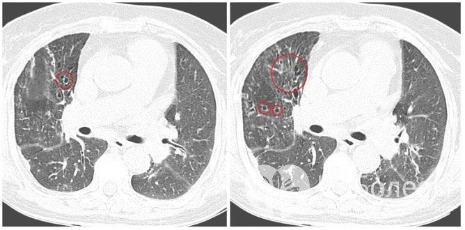
Визуализация бронхоэктазов на КТТерапия бронхоэктатической болезни комплексная:
В составе комплексного лечения бронхоэктактической болезни показана дыхательная гимнастикаПри отсутствии эффекта от консервативной терапии рекомендуется оперативное вмешательство.
При развитии осложнений бронхоэктактической болезни (в частности, вовлечении в патологический процесс сердечно-сосудистой системы), прогноз лечения значительно ухудшается.
Осложнениями бронхоэктатической болезни могут быть:
Прогноз зависит от множественности бронхоэктазов, степени тяжести и наличия осложнений. Он благоприятен при своевременной постановке диагноза, полноценной комплексной терапии и ухудшается при развитии осложнений (в частности, вовлечении в патологический процесс сердечно-сосудистой системы).
С целью снижения риска развития бронхоэктатической болезни необходимо:
Видео с YouTube по теме статьи:

Информация является обобщенной и предоставляется в ознакомительных целях. При первых признаках болезни обратитесь к врачу. Самолечение опасно для здоровья!
Ученые из Оксфордского университета провели ряд исследований, в ходе которых пришли к выводу, что вегетарианство может быть вредно для человеческого мозга, так как приводит к снижению его массы. Поэтому ученые рекомендуют не исключать полностью из своего рациона рыбу и мясо.



