Воспользуйтесь поиском по сайту:
Содержание статьи:
Двухсторонняя пневмония — воспалительное поражение обоих легких. В первую очередь поражаются альвеолы и интерстициальная ткань, далее воспаление распространяется на все структурные элементы легочной ткани. Летальность заболевания достигает 9%; особенно опасна двухсторонняя пневмония для детей, пожилых людей и лиц с ослабленным иммунитетом.
Двухсторонняя пневмония на рентгеновском снимкеВозбудителями двусторонней пневмонии чаще всего выступают грамположительные микроорганизмы. От 40 до 60% случаев заболевания вызываются пневмококками; реже – стафилококками и стрептококками. Иногда возбудителями двусторонней пневмонии оказываются микоплазмы, хламидии, вирусы, грибки и некоторые грамотрицательные бактерии – гемофильная палочка, палочка Фридлендера, энтеробактерии, кишечная палочка, протей, легионелла и пр. Нередко отмечаются случаи смешанных инфекций.
При первичном воспалении легких инфицирование происходит воздушно-капельным путем, однако чаще всего имеет место вторичная инфекция, развившаяся на фоне длительного воспалительного процесса в респираторной системе. Первичный очаг инфекции, как правило, находится в носоглотке – в ротовой полости, миндалинах и придаточных пазухах носа. Двусторонняя пневмония нередко выступает осложнением гриппа, ОРВИ, ангины и хронических заболеваний дыхательной системы, таких как гайморит, фронтит, тонзиллит, туберкулез и в особенности хронический деформирующий бронхит. При генерализованной форме заболевания инфекция заносится в легкие с током крови из почек, органов малого таза и брюшной полости. У ослабленных пациентов возможно развитие заболевания на фоне угнетения иммунитета и интенсивного размножения условно-патогенной микрофлоры.
В большинстве случаев к развитию двухсторонней пневмонии приводит инфицирование грамположительными бактериямиК числу факторов риска развития двусторонней пневмонии относятся:
У детей младшего возраста предрасполагающими факторами также считаются экссудативно-катаральный диатез и склонность к гиперергическим реакциям.
Двухсторонняя пневмония неинфекционного происхождения может провоцироваться воздействием токсических веществ, аллергенов и ионизирующего излучения, а также травмами грудной клетки, операциями на грудной полости, попаданием в бронхи инородных тел и тромбоэмболией мелких ветвей легочной артерии.
При двухсторонней пневмонии у взрослых чаще всего поражаются нижние доли легких, для детей более характерна полисегментарная форма заболевания. Нижнедолевая двухсторонняя пневмония развивается на фоне хронического инфекционного процесса, длительной иммуносупрессии и системных заболеваний, сопровождающихся застойными явлениями в нижних долях легких, к примеру, при сердечной недостаточности. Из-за тенденции к быстрому прогрессированию и образованию большого количества инфильтрата полисегментарная двухсторонняя пневмония характеризуется более тяжелым течением и высоким риском развития дыхательной недостаточности.
При двухсторонней пневмонии чаще поражающие нижние отделы легкихРазвитие воспалительного процесса при двухсторонней пневмонии в отсутствие осложнений происходит в четыре этапа.
Легкая и среднетяжелая двусторонняя пневмония, как правило, излечиваются за 3–4 недели. В 70% случаев происходит полное восстановление легочной ткани; реже формируются участки пневмосклероза (20%) и замещения соединительной тканью (7%).
Клиническая картина двухсторонней пневмонии определяется соотношением бронхолегочных и интоксикационных симптомов, интенсивность проявления которых зависит от вида возбудителя, состояния иммунной системы и формы заболевания.
При поражении нижних долей легких симптомы двухсторонней пневмонии включают:
Сильная боль в груди и кашель – симптомы двухсторонней пневмонииВ первые двое суток заболевания кашель остается сухим, затем появляется слизисто-гнойная мокрота, которая может содержать примесь крови. Наличие одышки зависит от тяжести воспалительного процесса: от чувства нехватки воздуха при физической нагрузке до удушья в состоянии покоя.
Нарастающая интоксикация организма при двухсторонней пневмонии проявляется неврологическими и абдоминальными нарушениями:
Полисегментарная двухсторонняя пневмония характеризуется лихорадочным состоянием с ознобом и обильным потоотделением; мышечной слабостью, одышкой, болью в груди, суставах и мышцах, частыми приступами кашля и выделением большого количества мокроты. При отеке бронхиальных стенок дыхание больного сопровождается хрипами, в осложненных случаях быстро развиваются признаки острой дыхательной и сердечной недостаточности.
Ввиду стертой клинической картины двухсторонняя пневмония особенно опасна для грудных детей. Родителям следует вызвать скорую помощь и настаивать на госпитализации и углубленном обследовании ребенка при появлении следующих признаков:
Двухсторонняя пневмония очень опасна для грудных детейВ течение 14 дней после перенесенной простуды или гриппа у дошкольников и младших школьников может развиться двухсторонняя полисегментарная пневмония. Анатомические особенности верхних дыхательных путей у детей до 12 лет, в частности, небольшая протяженность трахеи и сжатость плевральных синусов наряду с недоразвитием лимфоидной ткани и низкой активностью антибактериального иммунитета способствуют быстрому распространению воспалительного процесса в легких.
Читайте также:8 факторов, вредящих здоровью легких
Предварительный диагноз ставится терапевтом или пульмонологом на основании физикального осмотра, в особенности аускультативной картины двустороннего поражения легких. К числу основных проявлений воспалительного процесса в легких относят:
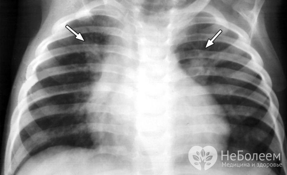
В целях уточнения диагноза проводится рентгенография легких. При поражении паренхимы на снимках просматриваются затемнения различной величины и локализации, смещение плевральных листков и расширение синусов, а в случае распространения воспалительного процесса на интерстициальную ткань – усиление легочного рисунка.
Основной метод диагностики двухсторонней пневмонии – рентгенография легкихОбщий анализ крови показывает повышение СОЭ до 30–50 мм/час и лейкоцитоз с увеличением доли палочкоядерных клеток в лейкоцитарной формуле до 6–30%. Микроскопия и бакпосев мокроты и смывов носоглотки позволяют выявить тип возбудителя и определить чувствительность данного штамма к антибактериальным и антивирусным препаратам.
С целью контроля эффективности терапии на третьей или четвертой неделе заболевания проводится контрольная рентгенография легких. После выписки из стационара пациент в течение года находится на диспансерном учете, проходя периодические осмотры пульмонологом. Два раза в год проводится общий анализ крови, бактериологическое исследование мокроты и флюорография.
Терапевтическая стратегия при двухсторонней пневмонии строится на сочетании этиотропного и симптоматического подходов. Помимо специфической антибактериальной или антивирусной терапии, принимаются меры для ликвидации обструкции дыхательных путей и увеличения жизненного объема легких, стимуляции иммунитета и детоксикации организма.
В дополнение к противоинфекционным препаратам пациенту назначают муколитические и отхаркивающие средства, витамины для укрепления сосудов, лечебные ингаляции и бронхоскопии. Сильную интоксикацию снимают при помощи внутривенного вливания глюкозо-солевых растворов. Для борьбы с функциональными нарушениями показано проведение посиндромной терапии; при выраженной дыхательной недостаточности прибегают к оксигенотерапии и искусственной вентиляции легких. Ввиду высокого риска осложнений лечение двухсторонней пневмонии осуществляется в стационаре.
Лечебные ингаляции – часть терапии двухсторонней пневмонииПосле стихания острых воспалительных явлений показаны физиотерапевтические процедуры, ускоряющие восстановление легочной ткани:
После перенесенной пневмонии пациенту рекомендованы занятия дыхательной гимнастикой и ЛФК, профильное санаторно-курортное лечение, длительное пребывание на свежем воздухе и общеукрепляющая диета, богатая витаминами, микроэлементами и легкоусвояемым белком.
Летальность при двухсторонней пневмонии достигает 9%; особенно она опасна для детей, пожилых людей и лиц с ослабленным иммунитетом.
Осложнения двухсторонней пневмонии классифицируют на легочные и внелегочные. К первым относят обструктивный синдром, абсцесс и гангрену легкого, плеврит и острую дыхательную недостаточность; ко вторым – острую сердечно-легочную недостаточность, инфекционно-токсический шок, менингит и менингоэнцефалит, миокардит и эндокардит, гломерулонефрит, анемию и т. д. Позднее начало лечения увеличивает вероятность осложнений.
Легкая и среднетяжелая двусторонняя пневмония, как правило, излечиваются за 3–4 недели. В 70% случаев происходит полное восстановление легочной ткани; реже формируются участки пневмосклероза (20%) и замещения соединительной тканью (7%). Вероятность уменьшения или сморщивания затронутого воспалением сегмента или доли составляет 3%. При затяжном и осложненном течении заболевания, а также при иммунодефицитах, внутрибольничной инфекции, появлении гнойных и токсических осложнений и устойчивости возбудителя к антибиотикотерапии прогноз менее благоприятный.
Профилактика пневмоний всех видов заключается в укреплении иммунитета, в том числе рациональном питании и закаливании организма, а также борьбе с пылью и загрязнением воздуха, своевременном лечении респираторных заболеваний, отказе от вредных привычек и санации хронических очагов инфекции. Большое значение имеет состояние полости рта и своевременное лечение кариеса. Ослабленным людям и часто болеющим детям важно избегать переохлаждения, стрессов и чрезмерных физических нагрузок, соблюдать щадящий режим дня и выполнять дыхательную гимнастику. С недавних пор практикуется вакцинация от пневмококка и гемофильной палочки детей и взрослых, отнесенных к группе риска.
Видео с YouTube по теме статьи:

Диплом по специальности «Педиатрия», Санкт-Петербургский государственный педиатрический медицинский университет
Интернатура по специальности «Эндокринология», Кировская государственная медицинская академия
Информация является обобщенной и предоставляется в ознакомительных целях. При первых признаках болезни обратитесь к врачу. Самолечение опасно для здоровья!
Существуют очень любопытные медицинские синдромы, например, навязчивое заглатывание предметов. В желудке одной пациентки, страдающей от этой мании, было обнаружено 2500 инородных предметов.