Воспользуйтесь поиском по сайту:
Содержание статьи:
Гидроторакс – это скопление невоспалительной жидкости (транссудата) в плевральной полости.
Плевральная полость представляет собой щелевидное пространство, расположенное между париетальным (прилегающим к стенке грудной полости) и висцеральным (покрывающим легкие и органы средостения) листками плевры. В норме полость содержит несколько миллилитров плевральной жидкости, облегчающей скольжение листков во время дыхательных движений.
При гидротораксе количество жидкости в плевральной полости значительно увеличивается (до 1 л и более), что сопровождается развитием характерной симптоматики.
Скопление жидкости (транссудата) в плевральной полости при гидротораксеОсновной причиной скопления аномально большого количества жидкости в плевральной полости является повышение гидростатического давления в одном или обоих кругах кровообращения. В случае если в капиллярном русле формируются застойные явления, повышается гидростатическое давление, на фоне чего происходит пропотевание (продавливание) жидкой части плазмы в плевральную полость.
Также гидроторакс может развиться из-за снижения онкотического давления плазмы крови вследствие гипоальбуминемии и пропотевания отечной жидкости из брюшной полости через диафрагму при повышении внутрибрюшного давления.
Заболевания и патологические состояния, при которых может отмечаться гидроторакс:
В зависимости от области распространения гидроторакс бывает:
Гидроторакс чреват такими осложнениями, как острая дыхательная недостаточность, инфицирование содержимого гидроторакса, эмпиема плевры.
Классификация в соответствии с объемом жидкости:
Интенсивность проявлений гидроторакса зависит от тяжести основного заболевания и объема свободной жидкости.
Малые количества жидкости, как правило, не имеют значимых клинических признаков: состояние может протекать бессимптомно или с жалобами на незначительную одышку, снижение работоспособности, утомляемость.
Признаки значительного накопления жидкости в плевральной полости:
Чувство нехватки воздуха и дискомфорт при дыхании – симптомы гидротораксаПри объективном обследовании пациента отмечаются отставание пораженной половины грудной клетки в акте дыхания, сглаживание межреберных промежутков. Перкуторно определяется зона приглушенного или тупого звука с косой верхней границей, при аускультации над областью скопления транссудата дыхательные шумы отсутствуют. Характерным признаком является смещение границы притупления перкуторного звука при принятии пациентом положения лежа.
Читайте также:10 признаков нарушения функции почек
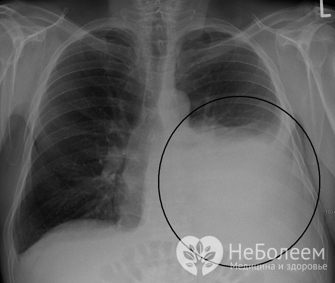
С целью выявления гидроторакса применяются:
Гидроторакс на рентгеновском снимкеТакие лабораторные методы исследования, как общий анализ крови и мочи, биохимический анализ крови диагностической ценности для подтверждения гидроторакса не имеют. С целью дифференциальной диагностики характера жидкости (транссудат, экссудат) осуществляется проба Ривальты, позволяющая подтвердить или опровергнуть воспалительный характер содержимого гидроторакса.
При гидротораксе количество жидкости в плевральной полости значительно увеличивается (до 1 л и более).
Лечение гидроторакса складывается из консервативной терапии, направленной на лечение основного заболевания, и плевральной пункции с целью эвакуации избыточного объема жидкости в случае необходимости.
Группы лекарственных средств для терапии основных заболеваний:
С целью эвакуации транссудата при гидротораксе выполняется плевральная пункцияПлевральная пункция представляет собой прокол стенки грудной полости и париетального листка плевры с последующей эвакуацией транссудата.
Осложнениями гидроторакса могут быть:

Информация является обобщенной и предоставляется в ознакомительных целях. При первых признаках болезни обратитесь к врачу. Самолечение опасно для здоровья!
В Великобритании есть закон, согласно которому хирург может отказаться делать пациенту операцию, если он курит или имеет избыточный вес. Человек должен отказаться от вредных привычек, и тогда, возможно, ему не потребуется оперативное вмешательство.



