Воспользуйтесь поиском по сайту:
Содержание статьи:
Ишемический инсульт – это неотложное состояние, представляющее собой острое нарушение мозгового кровообращения, развившееся по причине снижения или прекращения кровоснабжения какой-либо области головного мозга. Как правило, на фоне инсульта развивается некроз заинтересованного участка.
Ишемический инсульт – это острое нарушение мозгового кровообращенияИшемический инсульт – чрезвычайно распространенная патология, в развитых странах в структуре смертности он располагается на 3-м месте после сердечно-сосудистой патологии и злокачественных новообразований. В России ежегодно регистрируется около 450 тысяч случаев инсульта (более 3-х случаев на 1000 населения).
Первые описания заболевания встречаются еще в трудах Гиппократа под названием «апоплексия» (греч. ἀποπληξία – удар), однако вовлечение в патологический процесс сосудов, кровоснабжающих ткани мозга, было подтверждено только в 19-м веке. Полноценная классификация острых нарушений мозгового кровообращения, когда ишемический инсульт был выделен в отдельную категорию, появилась в 1928 году.
Ишемический инсульт напрямую связан с нарушением проходимости сосудов, питающих ткани мозга, на фоне чего в вовлеченных областях возникает острая нехватка кислорода и глюкозы, развиваются необратимые изменения (нейроны сохраняют жизнеспособность в течение 6-8 минут при условии снижения объема кровотока на поврежденном участке до 10-15 мл на 100 г мозгового вещества в минуту).
Необратимо поврежденная зона носит название ядерной или сердцевинной ишемии, терапевтическое воздействие на данную область не имеет перспектив. По периферии центрального участка располагается структурно неизмененная зона так называемой ишемической полутени или пенумбра (объем кровотока 20 мл и более на 100 г в минуту), где на протяжении нескольких часов после неврологической катастрофы поддерживается минимальный уровень жизнеспособности.
Смертность от ишемического инсульта составляет 1,23 случая на 1000 человек в год. В первый месяц погибает около 25% пациентов.
Зона пенумбры с критически низким уровнем кровоснабжения может быть спасена проведением неотложной терапии в первые 3–6 часов. В противном случае энергетический и белковый метаболизм в ней прекращается, и следом за функциональной перестройкой развиваются структурные изменения, происходит некроз тканей мозга поврежденной области.
Пусковым фактором развития ишемического инсульта является прекращение поступления крови к определенному участку мозга из-за нарушения проходимости питающих артерий или изменения гемодинамики, в чем заключается его принципиальное отличие от геморрагического инсульта, когда происходит разрыв сосуда с последующим кровотечением.
Наиболее частые причины ишемии головного мозга:
Высокий уровень холестерина – один из факторов риска ишемического инсультаФакторы риска ишемического инсульта:
В зависимости от патогенеза выделяют следующие типы ишемического инсульта:
В России ежегодно регистрируется около 450 тысяч случаев ишемического инсульта (более 3-х случаев на 1000 населения).
В зависимости от локализации патологического очага:
По зоне поражения:
Признаки ишемического инсульта можно распределить в 2 большие группы: общемозговые и очаговые проявления.
Общемозговые симптомы:
В течение 5 лет рецидив ишемического инсульта отмечается у трети пациентов.
Очаговая симптоматика:
Один из симптомов ишемического инсульта – парезы и параличи мускулатуры лицаНабор очаговых симптомов характерен для конкретной локализации зоны ишемии, обширности поражения, наличия сопутствующих отягчающих факторов.
Читайте также:7 советов по профилактике инсульта
Диагностика ишемического инсульта основывается на всесторонней оценке данных объективного и инструментальных методов исследования:
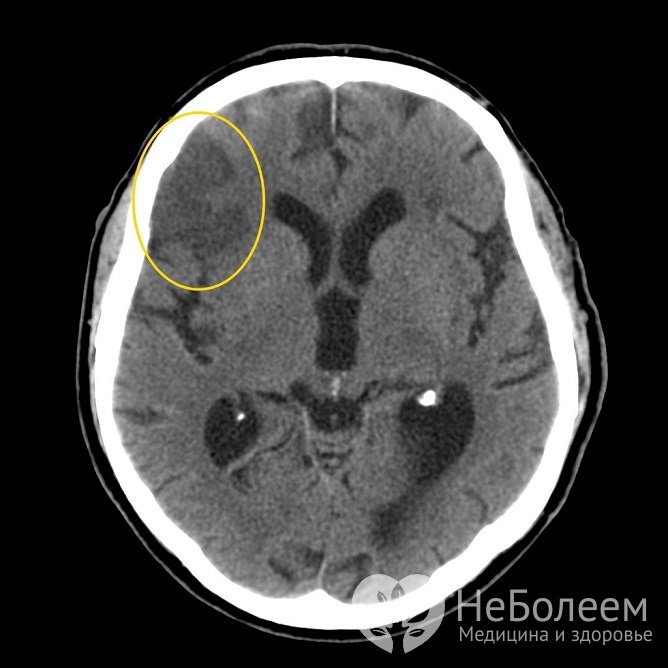
Ишемический инсульт на КТЛечение ишемического инсульта проводится по нескольким направлениям:
К полноценной трудовой и социальной активности после перенесенного ишемического инсульта возвращаются не более 1/5 пациентов.
Осложнениями ишемического инсульта могут стать:
Смертность от ишемического инсульта составляет 1,23 случая на 1000 человек в год. В первый месяц погибает около 25% пациентов. Отмечено, что чем более выражен неврологический дефицит по итогам первого месяца заболевания, тем меньше шансов на восстановление качества жизни. В течение 5 лет рецидив ишемического инсульта отмечается у трети пациентов.
Приблизительно 30% пациентов, перенесших неврологическую катастрофу, нуждаются в посторонней помощи, а 20% не могут самостоятельно передвигаться. К полноценной трудовой и социальной активности возвращаются не более 1/5 пациентов.
Видео с YouTube по теме статьи:

Информация является обобщенной и предоставляется в ознакомительных целях. При первых признаках болезни обратитесь к врачу. Самолечение опасно для здоровья!
Первый вибратор изобрели в 19 веке. Работал он на паровом двигателе и предназначался для лечения женской истерии.





