Катаракта – помутнение хрусталика, которое приводит к снижению зрения, а в некоторых случаях и к полной его утрате. Это заболевание является самой распространенной причиной слепоты, которое лечится при помощи лекарств, а в запущенных формах проводится операция катаракты.
Причинами катаракты глаза являются биологическое старение, воздействие излучения или некоторые заболевания (сахарный диабет). Развитие помутнения хрусталика приводит к появлению или усилению близорукости, при которой улучшается зрение вблизи и ухудшается зрение вдаль.
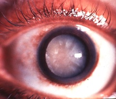
Катаракта может быть частичной или полной, стационарной или прогрессивной, твердой или мягкой. Основными видами возрастной катаракты являются ядерный склероз, корковая катаракта и заднекапсулярная катаракта глаз.
Впервые удаление катаракты было проведено еще 2 столетия тому назад хирургом Жаком Дэвиэлем.
Симптомы катаракты
Симптомы катаракты различны и зависят от типа катаракты. Самыми распространенными симптомами катаракты являются:
Утрата способности различать цвета;
Резкое снижение зрения;
Блики в глазах;
Утрата способности читать или писать без очков;
Окрашивание зрачка в белый цвет (при набухающей катаракте);
Повышенная или пониженная светочувствительность.
Причины катаракты
Наиболее распространенной причиной катаракты является возраст. Денатурация белков хрусталика деградирует с течением времени, и этот процесс ускоряется такими заболеваниями, как диабет и гипертония. С течением времени факторы окружающей среды, включая свет, токсины и радиацию, имеют свойство накапливаться. Эти факторы усугубляют потерю защитных и восстановительных механизмов в связи с изменениями в экспрессии генов и химическими процессами в глазах.
Ультрафиолетовое излучение и микроволны также могут быть причинами катаракты. Прием таких лекарств, как кортикостероиды, кветиапин и антипсихотические препараты, является причиной появления и развития катаракты глаз.
Курение сигарет приводит к двукратному увеличению скорости ядерной катаракты и к склеротическому трехкратному увеличению задней субкапсулярной катаракты.
Причинами катаракты могут быть различные заболевания, в число которых входят:
Дефицит йода;
Нарушения обмена веществ;
Аминоацидурия или синдром Лоу;
Сахарный диабет;
Болезнь Фабри;
Галактоземия;
Гомоцистинурия;
Гиперпаратиреоз;
Гипопаратиреоз;
Гипервитаминоз D;
Гипотиреоз;
Болезнь Вильсона-Коновалова;
Врожденный сифилис;
Краснуха;
Проказа;
Онхоцеркоз;
Токсоплазмоз;
Ветряная оспа;
Аниридия;
Увеит;
Пигментный ретинит.
Лечение катаракты
Операция катаракты начинается с анестезии глаз, осуществляемой при помощи инъекции или простых глазных капель.
Хирургическое лечение катаракты может осуществляться следующими методами:
Экстракапсулярная экстракция катаракты;
Лазерная факоэмульсификация;
Интракапсулярная экстракция катаракты;
Ультразвуковая факоэмульсификация.
Послеоперационный восстановительный период (период после удаления катаракты), как правило, длится недолго. После операции рекомендуется избегать резких движений и напряжений в течение месяца.
Серьезными осложнениями после удаления катаракты являются отслойка сетчатки глаза и эндофтальмит. В обоих случаях происходит внезапное снижение зрения, сопровождаемое болевыми ощущениями. Отслойка сетчатки часто выступает с односторонним дефектом поля зрения, пеленой перед глазами, вспышками света или плавающими пятнами.
Лекарственное удаление катаракты возможно на ранних стадиях заболевания и осуществляется при помощи таких медикаментов как:
Витафакол;
Витайодурол тифосаденин;
Изодибут;
Катахром офтан;
Квинакс;
Сенкаталин;
Тауфон.
Видео с YouTube по теме статьи:
Информация является обобщенной и предоставляется в ознакомительных целях. При первых признаках болезни обратитесь к врачу. Самолечение опасно для здоровья!
При регулярном посещении солярия шанс заболеть раком кожи увеличивается на 60%.
Кариес – это самое распространенное инфекционное заболевание в мире, соперничать с которым не может даже грипп.
Раньше считалось, что зевота обогащает организм кислородом. Однако это мнение было опровергнуто. Ученые доказали, что зевая, человек охлаждает мозг и улучшает его работоспособность.
Желудок человека неплохо справляется с посторонними предметами и без врачебного вмешательства. Известно, что желудочный сок способен растворять даже монеты.
Кроме людей, от простатита страдает всего одно живое существо на планете Земля – собаки. Вот уж действительно наши самые верные друзья.
Кровь человека «бегает» по сосудам под огромным давлением и при нарушении их целостности способна выстрелить на расстояние до 10 метров.
Во время чихания наш организм полностью прекращает работать. Даже сердце останавливается.
Согласно исследованиям ВОЗ ежедневный получасовой разговор по мобильному телефону увеличивает вероятность развития опухоли мозга на 40%.
Стоматологи появились относительно недавно. Еще в 19 веке вырывать больные зубы входило в обязанности обычного парикмахера.
Человеческие кости крепче бетона в четыре раза.
Работа, которая человеку не по душе, гораздо вреднее для его психики, чем отсутствие работы вообще.
В стремлении вытащить больного, доктора часто перегибают палку. Так, например, некий Чарльз Йенсен в период с 1954 по 1994 гг. пережил более 900 операций по удалению новообразований.
Самая высокая температура тела была зафиксирована у Уилли Джонса (США), который поступил в больницу с температурой 46,5°C.
По статистике, по понедельникам риск получения травм спины увеличивается на 25%, а риск сердечного приступа – на 33%. Будьте осторожны.
Американские ученые провели опыты на мышах и пришли к выводу, что арбузный сок предотвращает развитие атеросклероза сосудов. Одна группа мышей пила обычную воду, а вторая – арбузный сок. В результате сосуды второй группы были свободны от холестериновых бляшек.