Воспользуйтесь поиском по сайту:

Периодонтит – острое и хроническое воспаление периодонта, при котором возникает нарушение целостности связок удерживающих зуб в альвеоле, резорбция костной ткани вплоть до возникновения кист. Резорбция кости альвеолы приводит к патологической подвижности зуба.
Приведенная ниже классификация периодонтита, принятая в России, имеет небольшие расхождения с его классификацией за рубежом. Российские стоматологи выделяют:
К важнейшим этиологическим факторам периодонтита относится: микрофлора полости рта, окклюзия (привкус), аномальные положения зубов, зубные отложения. Немаловажное значение имеет общее состояние желудочно-кишечного тракта, заболевания нервной и эндокринной систем, нарушения обмена веществ в организме, витаминный дисбаланс.
Периодонтит у детей, как правило, возникает по инфекционной и травматической причине.
Возникающий периодонтит, симптомы которого характерны и легко диагностируются, необходимо стараться предотвратить в самом начале. Для этого настоятельно рекомендуется своевременное обращение к врачу. Особенно данная рекомендация касается родителей, у которых маленькие дети – именно от вас зависит систематический контроль состояния зубов своего ребенка.
Первыми признаками возникновения периодонтита является неприятные ощущения «ноющих» десен при приёме пищи с разными температурными режимами, кровоточивость десны при чистке зубов и неприятный запах изо рта.
Острый периодонтит, как правило, характеризуется возникновением на начальном этапе внезапных сильных болей без внешнего раздражителя в области заболевшего зуба. Ощущение «выросшего» зуба, боль может утихать при воздействии на воспаленный участок холодным. На последующей стадии развития воспаления боль приобретает пульсирующий характер, возможно появление отека лица. На этой стадии характерно увеличение лимфатических узлов и повышение температуры у больного до 38C. В случае, если не обращаться к стоматологу, то через 1,5-2 недели острый периодонтит переходит в хронический.
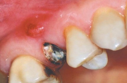
Хронический периодонтит сопровождается заметным повышением подвижности зубов, изменяется их положение, образуются межзубные щели. Кровоточивость десен может возникать даже без механического воздействия на них. Наблюдается систематическое выделение гноя, абсцессы и острая боль.
Хронический периодонтит характерен своей периодичностью – обострение периодонтита сменяется затиханием процесса, и больной в эти периоды может успокаиваться, в очередной раз, откладывая посещение врача. В периоды, когда происходит обострение периодонтита, десна краснеет и опухает, зубная боль постоянна и усиливается от прикосновения к зубу. Наблюдается повышение температуры тела.
Обострение периодонтита требует хирургических методов с целью удаления гнойного содержимого. Это препятствует некрозу тканей, распространению воспаления, ликвидирует или ослабляет боль. После удаления гноя врач начинает лечение периодонтита.
Диагностика периодонтита проводится традиционными клиническими методами, которые позволяют выявить очаг заболевания и степень развития воспалительного процесса. Диагностируя периодонтит у детей, врач сталкивается с трудностями сбора анамнеза на первом этапе – опросе, так как ребенок воспринимает боль эмоционально и не всегда может четко передать свои ощущения.
Клиническая диагностика периодонтита включает в себя:

При неэффективности лечения происходит удаление зуба.
Если у больного уже произошел переход из острого в хронический периодонтит, лечение проводится в зависимости от сложности и развития заболевания. И именно от того, на какой стадии заболевания больной попадает в руки профессионала, зависит эффективность всех последующих процедур.
Периодонтит у детей сопряжен с некоторыми особенностями применения вышеперечисленных методов лечения. Консервативная терапия не во всех случаях позволяет добиться ликвидации очага инфекции. Для лечения периодонтита у ребенка, врач должен провести тщательную и полную диагностику, чтобы быть уверенным, что воспалительный процесс не распространился на зачаток постоянного зуба
Видео с YouTube по теме статьи:
Информация является обобщенной и предоставляется в ознакомительных целях. При первых признаках болезни обратитесь к врачу. Самолечение опасно для здоровья!
Для того чтобы сказать даже самые короткие и простые слова, мы задействуем 72 мышцы.