Воспользуйтесь поиском по сайту:

Для различных целей (хирургического вмешательства, планирования лучевой терапии, описания локализации патологии) средостение, в соответствии со схемой, предложенной Твайнингом в 1938 году, разделяется на верхнее и нижнее, а также передний, задний и средний отделы.
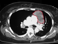
Переднее средостение спереди ограничено грудиной, сзади – плечеголовными венами, перикардом и плечеголовным стволом. В данном пространстве находятся внутренние грудные вены, грудная артерия, лимфоузлы средостения и тимус – вилочковая железа.
Строение среднего средостения: сердце, полые вены, плечеголовные вены и плечеголовной ствол, дуга аорты, восходящая аорта, диафрагмальные вены, главные бронхи, трахея, легочные вены и артерии.
Заднее средостение ограничено трахеей и перикардом в передней части, в задней – позвоночником. В этой части органа располагаются пищевод, нисходящая аорта, грудной лимфатический проток, полунепарная и непарная вены, а также задние лимфоузлы средостения.
Верхнему средостению принадлежат все анатомические структуры, которые лежат выше верхнего края перикарда: его границами являются верхняя апертура грудины и линия, проведенная между углом грудной клетки и межпозвонковым диском Th4-Th5.
Нижнее средостение ограничивается верхними краями диафрагмы и перикарда и, в свою очередь, также делится на переднюю, среднюю и заднюю части.
Новообразованиями органа считаются не только истинные опухоли средостения, но и отличные по этиологии, локализации и протеканию болезни опухолевидные заболевания и кисты. Каждое из новообразований средостения происходит из тканей различного происхождения, объединяясь только анатомическими границами. Они подразделяются на:

На поздних стадиях заболеваний средостения наблюдаются повышение температуры тела, общая слабость, артралгический синдром, нарушение сердечного ритма, отеки конечностей.
Лимфаденопатия или увеличение лимфатических узлов данного органа наблюдаются при метастазах карциномы, лимфомах, а также некоторых неопухолевых заболеваниях (саркоидозе, туберкулезе и т.д.).
Основным симптомом заболевания является генерализованное или локализованное увеличение лимфатических узлов, однако, лимфаденопатия средостения может иметь такие дополнительные проявления как:
Поражение лимфатических узлов, характерное для лимфом может быть изолированным, так и сочетать собой прорастание опухолей в другие анатомические структуры (трахею, сосуды, бронхи, плевру, пищевод, легкие).
Нашли ошибку в тексте? Выделите ее и нажмите Ctrl + Enter.
Ученые из Оксфордского университета провели ряд исследований, в ходе которых пришли к выводу, что вегетарианство может быть вредно для человеческого мозга, так как приводит к снижению его массы. Поэтому ученые рекомендуют не исключать полностью из своего рациона рыбу и мясо.

