Воспользуйтесь поиском по сайту:
Содержание статьи:
Верхнечелюстной синусит, или гайморит – воспалительное поражение слизистой оболочки верхнечелюстной пазухи, является одним из самых распространенных и часто рецидивирующих заболеваний ЛОР-органов.
Выраженность симптомов гайморита определяется тяжестью его теченияВерхнечелюстной синус, или гайморова пазуха, представляет собой парную придаточную пазуху носа, занимающую большую часть тела верхнечелюстной кости. Его размеры и форма отличаются индивидуальной и возрастной изменчивостью. Слизистая оболочка этой полости является продолжением слизистой оболочки носа. Она представлена мерцательным эпителием и включает много слизистых желез.
Частота развития гайморитов варьирует от 5 до 50% всех заболеваний околоносовых пазух.
По локализации синусит может быть:
В зависимости от процесса воспаления в гайморовой пазухе, различают синусит:
Код по МКБ-10 (международной классификации болезней 10-го пересмотра): J01.0 (острый верхнечелюстной синусит); J32.0 (хронический верхнечелюстной синусит).
Часто гайморит имеет одонтогенную этиологиюВ зависимости от этиологии заболевания, различают следующие виды гайморита: риногенный, одонтогенный, травматический и аллергический. Но причиной возникновения воспалительного процесса может быть несколько факторов. Так, гайморит риногенной этиологии, развившийся на фоне острого респираторного заболевания (ОРЗ), может привести к обострению периапикального очага хронической одонтогенной инфекции и вторничному инфицированию слизистой оболочки синуса.
На обзорной рентгенограмме в большинстве случаев наблюдается интенсивное гомогенное или пристеночное затемнение. При гнойной форме заболевания выявляется гомогенное затемнение или уровень жидкости в синусе.
Наличие хронического очага инфекции в ротовой полости или области верхушки корней зубов верхней челюсти является предрасполагающим фактором для ослабления местного тканевого иммунитета или непосредственного попадания инфекции через ток крови. К ведущим инфекционным агентам при одонтогенном и риногенном синусите относятся стафилококки (в том числе золотистый стафилококк), стрептококки, коринебактерии, анаэробы.
Одним из ведущих инфекционных агентов являются коринебактерииТакже возможна перфорация стенки верхнечелюстной пазухи при удалении верхних зубов или хирургическом вмешательстве на альвеолярном отростке верхней челюсти.
В патогенезе развития воспаления в гайморовой пазухе большую роль играет локальное нарушение функции реснитчатого эпителия синуса вследствие возникающей воспалительной и токсической реакции тканей.
В результате воздействия инфекционного агента (сначала, как правило, вирусного, затем присоединяется бактериальная флора) и развития воспалительного процесса изменяются свойства выделяемого слизистой оболочкой пазухи секрета и нарушается мукоцилиарный транспорт. Выделения застаиваются в полости пазухи, что создает условия для активного размножения бактерий и образования гноя. Давление в пазухе начинает повышаться, отек тканей нарастает.
Чаще всего встречается односторонняя локализация воспалительного процесса.
Характерными симптомами острого течения болезни являются:
Общая реакция организма на воспаление в синусе проявляется недомоганием, слабостью, головной болью, лихорадочным состоянием.
К ведущим инфекционным агентам при одонтогенном и риногенном синусите относятся стафилококки (в том числе золотистый стафилококк), стрептококки, коринебактерии, анаэробы.
При хроническом течении заболевания симптомы могут быть менее выражены, но они также снижают качество жизни пациента. Наиболее часто отмечаются следующие жалобы:
В ряде случаев синуситы могут проходить бессимптомно.
Читайте также:
Во время осмотра выявляется боль и чувствительность при пальпации передних стенок околоносовых пазух, области переносицы и локальная боль в зоне щеки над пораженной пазухой. Риноскопия определяет отек и гиперемию слизистой оболочки, слизистое или гнойное отделяемое в среднем носовом ходе на стороне поражения пазухи.
При появлении симптомов гайморита необходимо обратиться к ЛОРуДанные клинического анализа крови могут отражать вирусную, бактериальную или аллергическую природу заболевания.
Проводится бактериологический посев отделяемого из носа с определением чувствительности к антибиотикам.
На обзорной рентгенограмме в большинстве случаев наблюдается интенсивное гомогенное или пристеночное затемнение. При гнойной форме заболевания выявляется гомогенное затемнение или уровень жидкости в синусе.
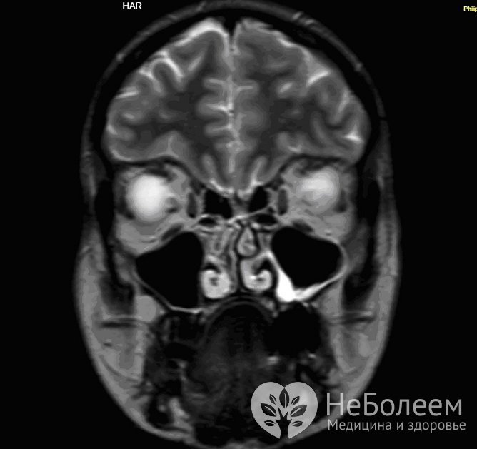
Для уточнения диагноза может быть назначена магнитно-резонансная томография гайморовых пазухОсобую информационную ценность в распознавании патологии гайморитов представляет эндоскопическое исследование синуса, а также КТ и МРТ (компьютерная и магнитно-резонансная томография). С помощью КТ удается точно определить характер и распространенность патологического процесса, степень вовлечения костных и мягких тканей пограничных областей.
Эндоскопическое исследование позволяет оценить состояние слизистой оболочки, выявить отек, рубцовые и полипозные изменения, решить вопрос о необходимости хирургического лечения.
Достичь хороших результатов, сократить сроки заболевания и предупредить развитие осложнений можно благодаря комплексному подходу.
В первую очередь подбираются антибактериальные препараты. Предпочтительны антибиотики широкого спектра действия:
Общая реакция организма на воспаление в синусе проявляется недомоганием, слабостью, головной болью, лихорадочным состоянием.
Одним из важнейших аспектов патогенетической терапии синусита является назначение средств, влияющих на продукцию и свойства мокроты – мукорегуляторов (Миртол, Бромгексин), способствующих разжижению и выведению секрета. Также они оказывают антимикробное и противовоспалительное действие.
Снижение отека тканей достигается систематической анемизацией слизистой оболочки полости носа сосудосуживающими растворами (Нафтизин, Ксимелин). При этом изменяется режим кровообращения в полости носа и околоносовых пазухах, уменьшается набухание слизистой оболочки, выводное отверстие полости расширяется и улучшается отток отделяемого из пазухи.
Для промывания носа часто используют антисептические растворы, например ХлоргексидинАктивному выведению содержимого синуса способствуют промывания полости носа и пазухи антисептическими (Хлоргексидин, Мирамистин) и гипертоническими растворами.
В домашних и стационарных условиях часто применяется метод промывания носа Кукушка (метод перемещения жидкости по Проетцу). В одну половину носа вводят наконечник автоматического отсоса или резиновую грушу, другую ноздрю после введения препарата зажимают пальцами. Во время отсасывания ребенок кричит, мягкое небо прижимается к задней стенке глотки, благодаря чему создаются благоприятные условия для отсасывания содержимого не только из полости носа, но и из околоносовых пазух и носоглотки. Дети старшего возраста и взрослые произносят во время процедуры «ку-ку», что предотвращает попадание раствора в ротоглотку.
При попадании в гайморову пазуху пломбировочного материала показано хирургическое вмешательствоПо показаниям проводят хирургическое лечение, направленное на санацию и восстановление вентиляции синуса, при необходимости на удаление инородных объектов: пломбировочного материала, имплантатов, кист, участков измененной слизистой оболочки. В период после операции кроме антибактериальной терапии широкого спектра действия назначаются стероидные препараты для снижения послеоперационного отека и восстановления аэрации синуса.
Чтобы минимизировать вероятность развития гайморита, рекомендовано соблюдать следующие меры профилактики:
Предлагаем к просмотру видеоролик по теме статьи.

Опыт работы: 4 года работы в частной практике.
Нашли ошибку в тексте? Выделите ее и нажмите Ctrl + Enter.
Для того чтобы сказать даже самые короткие и простые слова, мы задействуем 72 мышцы.



