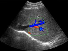
Страшная аббревиатура УЗДГ расшифровывается так: ультразвуковая допплерография сосудов. Это один из методов диагностики с помощью ультразвука, позволяющий точно определить нарушения кровообращения в сосудах, или его отсутствие. Важно, что метод этот недорогой и при этом достаточно информативный. УЗДГ применяют для исследования состояния артерий и вен, при этом величина сосуда может быть любой – от крупной вены до мелкой артериолы. С помощью УЗДГ сосудов исследуют состояние кровотока и сосудистого русла артерий и вен головы (поверхностных и внутричерепных), шеи, внутренних органов, конечностей, сосудов глаз.
Метод УЗДГ сосудов удобен и для пациента. Он относится к неинвазивным аппаратным методикам, слово «неинвазивный» означает, что для проведения диагностической манипуляции не требуется проникновение внутрь. УЗДГ напоминает обычную ультразвуковую диагностику: человек ложится на кушетку, обнажает исследуемую область (проекцию необходимого для изучения сосуда), врач при помощи датчика считывает необходимые параметры. По времени процедура занимает от 20 минут до часа.
УЗДГ сосудов, или, как его еще называют, ультразвуковая ангиография, выявляет состояние просвета сосуда, стенки сосуда, их извилистость, состояние клапанного аппарата вен, наличие стенозов (патологических сужений) и выпячиваний, измерить скорость кровотока, что необходимо для оценки его качества. Всю важность УЗДГ сосудов и полученной с ее помощью информации можно оценить, если вспомнить, что заболевания сердечно-сосудистой системы и их осложнения являются главной причиной смертности людей во всем мире.
Диагностику с помощью УЗДГ сосудов назначают в следующих случаях:
При нарушениях кровяного давления в любую сторону;
При упорных головных болях;
При болях в сердце, одышке и прочих симптомах нарушения сердечной деятельности;
При повторяющихся обмороках;
При признаках нарушения мозговой деятельности;
При признаках недостаточности кровообращения в конечностях;
При внезапном ухудшении зрения;
При нарушениях сна;
При повышенной утомляемости;
При варикозном расширении вен.
Проще говоря, УЗДГ сосудов показано при любом подозрении на сосудистую патологию. У метода нет противопоказаний, так же, как и обычное УЗИ, он абсолютно безвреден и может применяться даже у грудных детей.
Нашли ошибку в тексте? Выделите ее и нажмите Ctrl + Enter.
По статистике, по понедельникам риск получения травм спины увеличивается на 25%, а риск сердечного приступа – на 33%. Будьте осторожны.
Каждый человек имеет не только уникальные отпечатки пальцев, но и языка.
Если бы ваша печень перестала работать, смерть наступила бы в течение суток.
В четырех дольках темного шоколада содержится порядка двухсот калорий. Так что если не хотите поправиться, лучше не есть больше двух долек в сутки.
На лекарства от аллергии только в США тратится более 500 млн долларов в год. Вы все еще верите в то, что способ окончательно победить аллергию будет найден?
Во время чихания наш организм полностью прекращает работать. Даже сердце останавливается.
Вес человеческого мозга составляет около 2% от всей массы тела, однако потребляет он около 20% кислорода, поступающего в кровь. Этот факт делает человеческий мозг чрезвычайно восприимчивым к повреждениям, вызванным нехваткой кислорода.
74-летний житель Австралии Джеймс Харрисон становился донором крови около 1000 раз. У него редкая группа крови, антитела которой помогают выжить новорожденным с тяжелой формой анемии. Таким образом, австралиец спас около двух миллионов детей.
Кроме людей, от простатита страдает всего одно живое существо на планете Земля – собаки. Вот уж действительно наши самые верные друзья.
Во время работы наш мозг затрачивает количество энергии, равное лампочке мощностью в 10 Ватт. Так что образ лампочки над головой в момент возникновения интересной мысли не так уж далек от истины.
Люди, которые привыкли регулярно завтракать, гораздо реже страдают ожирением.
Существуют очень любопытные медицинские синдромы, например, навязчивое заглатывание предметов. В желудке одной пациентки, страдающей от этой мании, было обнаружено 2500 инородных предметов.
В стремлении вытащить больного, доктора часто перегибают палку. Так, например, некий Чарльз Йенсен в период с 1954 по 1994 гг. пережил более 900 операций по удалению новообразований.
При регулярном посещении солярия шанс заболеть раком кожи увеличивается на 60%.
Для того чтобы сказать даже самые короткие и простые слова, мы задействуем 72 мышцы.