Воспользуйтесь поиском по сайту:
Содержание статьи:
Ушиб головного мозга возникает в результате черепно-мозговой травмы. При этом в мозге появляются участки некроза (омертвения тканей) разной величины. Часто травма сочетается с закрытым переломом костей черепа. Среди всех черепно-мозговых травм ушиб головного мозга встречается примерно в 25% случаев.
Ушиб головного мозга является следствием черепно-мозговой травмыВ зависимости от размера и характера повреждения, различают три степени тяжести: легкую, среднюю и тяжелую. В 45% случаев у пострадавших наблюдается легкий ушиб.
Чаще всего при травме происходит поражение лобных долей мозга. Ушиб отличается от сотрясения тем, что становится причиной повреждения мозговых тканей. Согласно статистике, у мужчин такая травма встречается в три раза чаще, чем у женщин.
Существует определенный механизм развития ушибов головного мозга:
В подавляющем большинстве случаев причиной ушиба головы является черепно-мозговая травма. К основному сопутствующему фактору, влияющему на частоту ее появления, относят алкогольное опьянение. Примерно 20% пострадавших с диагностированным ушибом употребляли спиртные напитки.
Одна из частых причин ушибов – занятия травмоопасными видами спортаПричины черепно-мозговых травм:
|
Причины |
Описание |
|
Дорожно-транспортный травматизм |
Пострадавший может быть пешеходом, водителем или пассажиром. Чаще всего такие травмы преобладают в осенне-зимний период, когда погодные условия существенно ухудшаются |
|
Бытовой травматизм |
В этом случае пациент получает механическую травму дома или во дворе, вне условий производства. Чаще всего – из-за неосторожного выполнения каких-либо обязанностей во время уборки или ремонта. Также бытовые травмы возникают при падении с высоты собственного роста на разные предметы |
|
Криминальный травматизм |
Часто ушибы возникают в результате ударов по голове тупым предметом (битой, камнем, палкой или кастетом). Также такая травма возникает, если пострадавшего бьют кулаком, при этом он падает головой на твердый предмет или на землю |
|
Детский травматизм |
Поскольку у детей первого года жизни голова является наиболее тяжелой частью тела, то при падениях даже с небольшой высоты может возникать ушиб. Нередко травмы, полученные до двух лет, имеют отсроченные последствия |
|
Спортивный травматизм |
К травмоопасным видам спорта относят боевые единоборства, бокс, прыжки с трамплина, велосипедный спорт и др. Получить черепно-мозговую травму во время занятий рискуют как новички, так и профессиональные спортсмены |
|
Производственный травматизм |
Ушиб может быть получен в процессе трудовой деятельности в результате несоблюдения техники безопасности |
|
Травмы, полученные во время эпилептических припадков |
Во время приступа эпилепсии человек может упасть на землю или твердый предмет с высоты собственного роста |
Наиболее часто встречается легкий ушиб, который не несет угрозу для жизни пациента. У больного наблюдаются следующие симптомы:
Читайте также:Мозг мужчины и мозг женщины: 5 различий
В большинстве случаев ушиб головного мозга средней тяжести сочетается с переломом костей свода или основания черепа. При этом неврологическая симптоматика выражена более ярко. К признакам такой травмы относят:
Примерно в 7% случаев у пострадавших диагностируют ушиб мозга тяжелой степени. Это очень опасное состояние, требующее неотложной медицинской помощи. Такая травма несет опасность не только здоровью, но и жизни человека.
К ее симптомам относятся:
В первую очередь при обнаружении пациента с черепно-мозговой травмой необходимо вызвать скорую помощь. До ее прибытия нужно обеспечить человеку проходимость дыхательных путей и следить за тем, чтобы рвотные массы выходили наружу и не возникло запрокидывание языка.
При подозрении на ушиб головного мозга до приезда скорой помощи пострадавшего нужно уложить на бок и обеспечить устойчивое положение телаДля этого пациента в бессознательном состоянии нужно уложить на бок и обеспечить ему устойчивое положение. Нижнюю руку сгибаю в локтевом суставе, а верхнюю (по отношению к телу пациента) закладывают под голову. Также нижнюю ногу выпрямляют, верхнюю – сгибают в колене.
При возникновении рвоты полость рта необходимо очистить пальцами, обмотанными тканью. Если человек находится в сознании, ему нельзя подниматься на ноги, он должен лежать на боку или спине.
Диагностику проводят, оценивая общее состояние пациента, неврологические нарушения и состояние внутренних органов.
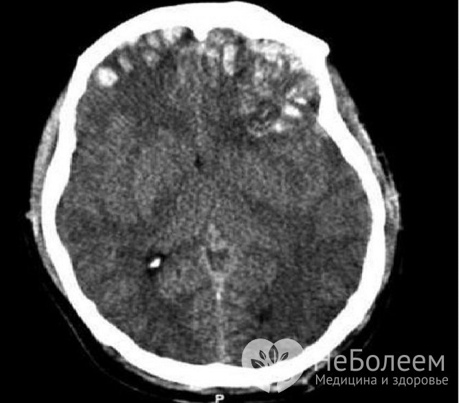
Для уточнения диагноза проводится компьютерная томографияВ диагнозе при очаговых поражениях обязательно определяется:
Тяжесть травмы определяют по общемозговым, стволовым и очаговым симптомам. Чтобы оценить степень поражения головного мозга и определить, как его лечить, проводят компьютерную томографию.
В зависимости от тяжести ушиба головного мозга, лечение могут проводить консервативным или хирургическим путем.
Оперативное вмешательство проводят примерно в 20% случаев, если в результате отека сдавливается мозг или происходит изменение позиции мозговых структур.
Травматический отек приводит к тому, что происходит существенное повышение внутричерепного давления, которое не регулируется с помощью лекарств, и нарастает неврологическая симптоматика. Это является показанием к срочному хирургическому вмешательству.
Также больного оперируют, если у него усиливаются нарушения работы внутренних органов или зона размозжения мозговой ткани слишком обширная. Хирургическим путем устраняются гематомы более 4 см в диаметре.
Для того чтобы получить доступ к тканям мозга, нейрохирург проводит трепанацию черепа (проделывает отверстия в кости).
Консервативная терапия проводится для устранения вторичных повреждений головного мозга. Они являются последствием травмы и значительно увеличивают риск смертельного исхода, а также приводят к поражению тканей и сосудов. В консервативном лечении используют респираторную терапию. При нарушении дыхания и снижении уровня кислорода в крови пациента используют аппарат для искусственной вентиляции легких.
Цераксон применяется для уменьшения воздействия вторичных поврежденийДля того чтобы уменьшить последствия ушиба, применяют препараты, которые восстанавливают объем потерянной крови, насыщают кислородом и восстанавливают водно-солевой баланс.
При повышении внутричерепного давления выше 21 мм рт. ст. используют внутрижелудочковый катетер, через который сбрасывают спинномозговую жидкость. Внутривенно вводят раствор маннитола, который позволяет уменьшить внутричерепное давление.
Если нет ожидаемого эффекта от этих манипуляций, пациента погружают в искусственную кому. В этом состоянии кора головного мозга менее подвержена повреждениям.
Для того чтобы уменьшить воздействие вторичных повреждений на нервные клетки, применяют нейропротекторы: Эритропоэтин, Цераксон, Нейроксон, Глиятон. Их начинают вводить сразу после поступления пациента в стационар. Эти лекарства способствуют восстановлению белого и серого вещества головного мозга.
Повреждение тканей может стать причиной развития серьезных патологий. Тяжелые черепно-мозговые травмы могут привести не только к инвалидности, но и к летальному исходу.
Все последствия такой травмы разделяют на три клинических формы:
|
Форма |
Описание |
|
Ликвородинамические |
В результате нарушения всасывания и циркуляции спинномозговой жидкости у пациента может возникать гидроцефалия (накапливание ликвора), порэнцефалия (образование каналов между мозговыми структурами и полостью желудочков), ликворные кисты или пневмоцефалия. Обычно такие осложнения сопровождаются повышением внутричерепного давления, эпилептическими припадками, снижением умственных способностей и расстройствами памяти |
|
Сосудистые |
Травмирование сосудов часто приводит к появлению внутричерепных гематом, кровоизлияний и аневризм. В результате у человека возникают судорожные припадки, парезы, выраженные головные боли, психозы, нарушения речи |
|
Тканевые |
Следствием травмы является поражение тканей белого или серого вещества, что может привести к посттравматической атрофии головного мозга, уплотнениям за счет разрастания соединительной ткани или воспалениям твердой мозговой оболочки. В некоторых случаях у пациентов наблюдаются дефекты черепа. Такие патологии часто приводят к развитию психопатий, парезов лицевого нерва, слепоты, эпилептических припадков |
При легких формах ушиба головного мозга прогноз чаще благоприятный. В этом случае тяжелые последствия у пациента не наблюдаются.
Для того чтобы предотвратить развитие патологий после любой, даже незначительной черепно-мозговой травмы, необходимо обратиться за консультацией к врачу.
Предлагаем к просмотру видеоролик по теме статьи.

Информация является обобщенной и предоставляется в ознакомительных целях. При первых признаках болезни обратитесь к врачу. Самолечение опасно для здоровья!
Кровь человека «бегает» по сосудам под огромным давлением и при нарушении их целостности способна выстрелить на расстояние до 10 метров.

