Воспользуйтесь поиском по сайту:
Содержание статьи:
Инфаркт мозга (I63 по классификации МКБ-10) – тяжелое патологическое состояние, характеризующееся некрозом (омертвлением) тканей мозга. Он возникает вследствие ишемического инсульта – нарушения кровоснабжения в мозговых артериях, которое приводит к кислородному голоданию мозга, вызывает повреждение тканей определенного участка мозга и нарушение их функций. По этой причине сам ишемический инсульт иногда называют мозговым инфарктом. Это заболевание является одной из основных причин смертности.
При поражении передней мозговой артерии наблюдаются непроизвольные хватательные рефлексы, парез ноги, нарушения движений глаз, моторная афазия.
Почему развивается инфаркт головного мозга, что это такое и чем он отличается от инсульта?
Другое название инфаркта мозга – ишемический инсультОт чего бывает инфаркт головного мозга? Непосредственная причина – острая ишемия, то есть недостаточность кровоснабжения головного мозга. Она может быть вызвана закупоркой, спазмом, сдавлением артерий, снабжающих кровью головной мозг. Закупоривать сосуды могут эмболы, тромбы, реже – пузырьки воздуха или капли жира. Иногда нарушение кровоснабжения мозга возникает из-за сердечно-сосудистой недостаточности, приводящей к ишемии и гипоксии мозга. Самой частой причиной ишемического инсульта считаются тромбоз при атеросклерозе церебральных сосудов или в результате кардиогенной эмболии.
Независимо от того, что стало пусковым механизмом ишемии, патологический процесс развивается одинаково: нарушение кровотока приводит к нарушению синтеза белка и расщепления глюкозы в нервных клетках. Нарушается трофика мозга, возникает кислородное голодание. В участке мозга, куда перестал поступать кислород, начинается процесс гибели клеток, т. е. развивается некроз. Однако если быстро восстановить кровоснабжение пораженной зоны, нервные клетки восстанавливаются. В противном случае происходит обширный инфаркт головного мозга.
Из-за энергетического голода нервные клетки не могут поддерживать постоянство своего обмена веществ и подвергаются некрозу. Развивается отек мозга. Вследствие отека мозг внутри черепной коробки сдавливается, его структуры смещаются, возможно вдавление мозжечка, вклинивание продолговатого мозга в затылочное отверстие. Это часто заканчивается смертельным исходом.
При нарушении кровотока в средней мозговой артерии – парез и расстройство чувствительности верхних конечностей и нижней половины лица, сенсорная и моторная афазия, запрокидывание головы.
Основные факторы риска, способствующие развитию инфаркта головного мозга:
Кроме перечисленных заболеваний, существуют факторы риска, связанные с образом жизни, индивидуальными особенностями и вредными привычками:
В зависимости от патогенетических особенностей различают следующие виды мозгового инфаркта:
Тромбоэмболический инфаркт включает атеротромботический и кардиоэмболический. При атеротромботическом инфаркте тромбоз или эмболия артериального сосуда возникают из очагов атеросклероза внутримозговых артерий. Кардиоэмболический инфаркт мозга развивается вследствие кардиоцеребральной эмболии при заболеваниях сердца. В этом случае в артериальную систему головного мозга с током крови заносятся эмболы, образованные в полостях сердца.
При нарушении кровообращения в задней мозговой артерии возникают зрительные нарушения, проблемы с пониманием речи и памятью.
К тромбоэмболическому типу также относят гемодинамический мозговой инфаркт, который возникает при резком падении артериального давления на фоне грубого стеноза сосудов головного мозга или шеи.
Читайте также:7 советов по профилактике инсульта
Симптоматика мозгового инфаркта зависит от локализации очага поражения. Заболевание может иметь острое или подострое течение, как правило, прогрессирующего (реже волнообразного) характера. В большинстве случаев все происходит в течение нескольких минут, реже – часов или суток.
Диагностика мозгового инфаркта заключается в проведении инструментального и лабораторного обследованияПервые признаки, которые наблюдаются при остром нарушении мозгового кровообращения любой локализации:
Следующие симптомы возникают на одной стороне тела, противоположной стороне пораженного полушария, т. е. если очаг поражения располагается в правом полушарии, то симптомы проявятся на левой половине тела:
Иногда по проявлениям инфаркта можно определить, какая именно церебральная артерия был поражена. При поражении передней мозговой артерии наблюдаются непроизвольные хватательные рефлексы, парез ноги, нарушения движений глаз, моторная афазия. При нарушении кровотока в средней мозговой артерии – парез и расстройство чувствительности верхних конечностей и нижней половины лица, сенсорная и моторная афазия, запрокидывание головы. При нарушении кровообращения в задней мозговой артерии возникают зрительные нарушения, проблемы с пониманием речи и памятью. При нарушениях в вертебро-базилярном бассейне у больного ухудшается зрение, возникают проблемы с глотанием пищи, произношением отдельным букв. Речь становится тихой и хриплой, наблюдаются парез или паралич, нарушение чувствительности конечностей.
Если быстро восстановить кровоснабжение пораженной зоны, нервные клетки восстанавливаются. В противном случае происходит обширный инфаркт головного мозга.
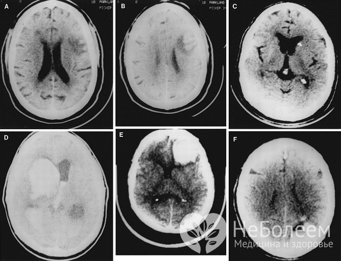
Диагноз должен быть поставлен в максимально сжатые сроки. Используется инструментальная диагностика. Точным и эффективным методом является компьютерная томография, поскольку она дает возможность отличить кровоизлияние от инфаркта в большинстве случаев. Также применяется магнитно-резонансная томография, однако разница методов заключается в том, что МРТ не используется для экстренной диагностики. Для изучения состояния сосудов применяют дуплексное сканирование и допплерографию.
Из лабораторных методов диагностики важная роль отводится исследованию ликвора, взятого с помощью люмбальной пункции. У большинства пациентов с внутримозговым кровоизлиянием в ликворе обнаруживается кровь.
Лечение инфаркта должно быть начато как можно ранее, крайне желательно, чтобы это произошло не позднее, чем через три часа после манифестации. Своевременно оказанная первая помощь существенно уменьшает риск осложнений и последующего развития заболевания, позволяет свести последствия мозгового инфаркта к минимуму.
Первая домедицинская помощь:
Однако самым первым этапом должен стать вызов скорой помощи.
В стационаре применяются лекарственные средства, позволяющие снизить свертываемость крови, предотвратить или уменьшить отек мозга. Лечебные мероприятия направлены на стабилизацию артериального давления, дыхания, частоты пульса, восстановление и поддержание жизненных функций.
Непосредственная причина – острая ишемия, то есть недостаточность кровоснабжения головного мозга. Она может быть вызвана закупоркой, спазмом, сдавлением артерий, снабжающих кровью головной мозг.
В дальнейшем для лечения инфаркта может использоваться хирургическое вмешательство. При помощи операции удается устранить факторы, которые привели к закупориванию сосудов, что снижает риск повторного инфаркта на 70%. Также хирургическое лечение может использоваться для увеличения перфузии крови, снижения внутричерепного давления, поддержания мозгового кровотока.
Медицинская помощь должна быть оказана в течение трех часов после начала приступаБольшое значение имеет реабилитация больного – восстановление речевых навыков, двигательной активности, возвращение мышечного тонуса. Значение имеет также психологическая реабилитация и адаптация больного.
Чем опасен инфаркт мозга? Последствия инфаркта головного мозга при неоказании своевременной медицинской помощи могут быть очень серьезными, включая летальный исход. Это заболевание занимает второе место в структуре смертности после инфаркта миокарда и относится к категории заболеваний, требующих длительных реабилитационных мероприятий.
Предлагаем к просмотру видеоролик по теме статьи.

Нашли ошибку в тексте? Выделите ее и нажмите Ctrl + Enter.
Стоматологи появились относительно недавно. Еще в 19 веке вырывать больные зубы входило в обязанности обычного парикмахера.